เคลือบฟันเทียม ทันตกรรมเพื่อความสวยงาม

เคลือบฟันเทียม หรือ การทำวีเนียร์ เป็นทันตกรรมเพื่อความสวยงามที่สามารถใช้เพื่อแก้ไขความผิดปกติของรูปร่างฟัน สีฟัน รวมถึงการเรียงตัวของฟันที่ผิดปกติได้ การเคลือบฟันขาว เป็นการฉาบฟันด้วยวัสดุสีเหมือนฟัน ที่ช่วยให้ฟันดูสวยงามเป็นธรรมชาติ และมอบความแข็งแรงและทนทานเหมือนกับเคลือบฟันธรรมชาติ เคลือบฟันเทียมจะผลิตมาให้เข้ากับฟันของผู้ป่วยแต่ละคน และจะต้องติดเข้ากับเคลือบฟันเดิม โดยวัสดุที่นำมาใช้ที่นิยม  2 ประเภท ได้แก่ คอมโพสิตเรซิน  และ พอร์ซเลน/เซรามิก

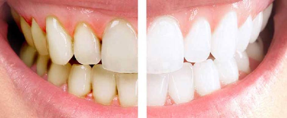
เคลือบฟันเทียม เป็นอีกวิธีการหนึ่งที่สามารถแก้ไขสีฟันคล้ำให้ดูเหมือนสีฟันธรรมชาติได้ โดยสูญเสียเนื้อฟันน้อยกว่าการทำครอบฟัน วัสดุที่นิยมนำมาใช้ในงานเคลือบฟันเทียมได้แก่ เซรามิค และคอมโพสิตเรซิน การรักษานี้ทันตแพทย์จะกรอฟันทางด้านหน้าเล็กน้อยและเปลี่ยนเป็นแผ่นพอร์ซีเลนใหม่เพื่อแก้ไขความผิดปกติต่างๆ เราสามารถทำเฉพาะเพียงบางซี่หรือทำทั้งฟันบนและล่างจำนวน16 ซี่ตั้งแต่ฟันกรามน้อยซี่ที่หนึ่งซ้ายถึงขวาเพื่อแก้ไขรอยยิ้มทีมีปัญหาของเราไปเป็นฟันที่ขาวสวยงาม

วีเนียร์แบบที่ทำจากเรซินจะบางกว่า ซึ่งหมายความว่าการกรอผิวฟันออกในขั้นเตรียมก็น้อยกว่าด้วย อย่างไรก็ดี เมื่อเปรียบเทียบกันแล้ว พอร์ซเลนวีเนียร์ จะสามารถป้องกันคราบสีได้ดีกว่า และแลดูเป็นธรรมชาติมากกว่าแบบคอมโพสิต เรซิน วีเนียร์ที่ทำจากพอร์ซเลนต้องขึ้นชิ้นงานในห้องแล็บด้วยฝีมือของช่างทันตกรรมเท่านั้น ในขณะที่วีเนียร์ที่ทำจากคอมโพสิตนั้นไม่จำเป็น สามารถทำได้ที่คลีนิคเลย พอร์ซเลนวีเนียร์จะอยู่ได้นานกว่าแต่ก็มีค่าใช้จ่ายในการทำที่สูงกว่าด้วย

วีเนียร์ใช่ว่าจะอยู่ได้อย่างถาวรตลอดไป อาจจะต้องทำใหม่ในอนาคต อย่างไรก็ตามการทำวีเนียร์ในแต่ละคราวนั้นสามารถอยู่ได้นานประมาณ 5-10 ปี ขึ้นอยู่กับทักษะและฝีมือของทันตแพทย์และความดูแลเอาใจใส่ของคุณเอง

การรักษามีขั้นตอนคร่าวๆ ดังนี้

1.ขั้นแรกจากทันตแพทย์จะภาพภาพนิ่งและภาพเคลื่อนไหวและวางแผนออกแบบรอยยิ้มร่วมกับคนไข้ หลังจากนั้นก็จะกรอฟันของคนไข้ และการพิมพ์ช่องปากและส่งไปแลปทางทันตกรรม จากนั้นจะนัดคนไข้มาอีกทีประมาณ 4-5 วัน (ในระหว่างการรอที่จะมาพบคุณหมอตามที่นัด คุณหมอจะแนะนำให้หลีกเลี่ยงการทานอาหารที่ร้อนจัด เย็นจัด เปรี้ยวจัด หรือหวานจัด เพื่อที่จะหลีกเลี่ยงปัญหาการเสี่ยวฟัน)

2. หลังจากนั้นจะทำการสร้างเคลือบฟันเทียมชั่วคราวให้กับคนไข้ (แต่ในกรณีที่มีการรักษาเคลือบฟันเทียมฟันหน้า จะไม่แนะนำให้ทำใส่เคลือบฟันเทียมชั่วคราว เพราะจะยากเวลาต้องรื้อและต้องเสียค่าใช้จ่ายเพิ่ม)

3. หลังจากนั้นนัดครั้งที่สองทันตแพทย์จะทำการยึดแผ่นพอร์ซิเลนกลับเข้าไปยังฟันที่ได้กรอไว้  และจะทำการตรวจสอบและทำการปรับแต่งฟันให้ดูสวยและเข้าที่ดูเป็นธรรมชาติ แค่เพียงเท่านี้คนไข้ก็จะได้ฟันที่สวยงาม และมั่นใจในการยิ้ม

สำหรับใครที่สนใจเรื่องของการเคลือบฟันเทียม หรือวีเนียร์ฟันขาว สามารถขอรับคำแนะนำได้ที่ ศูนย์ทันตกรรม PMDC รับรองว่าเห็นผลหลังจากทำแน่นอน ด้วยเทคโนโลยีที่ทันสมัย และความเชี่ยวชาญของทันตแพทย์ที่มีประสบการณ์มามากกว่า 23 ปี 

ขอบคุณข้อมูลจาก https://goo.gl/bEWoZi